VBIO

Zukunft Biowissenschaften gemeinsam gestalten! 

Als VBIO sind wir überzeugt: Die Biowissenschaften liefern wichtige Beiträge, um Zukunftsprobleme zu erforschen und Lösungsansätze zu entwickeln.

Multiple Sklerose: Nachweis veränderter grauer Substanz mittels PET

In Deutschland leiden etwa 250.000 Menschen an der Multiplen Sklerose. Es handelt sich um eine Autoimmunerkrankung, bei der die Körperabwehr Strukturen des Zentralen Nervensystems angreift. Die Attacken führen auch zu Veränderungen in der grauen Substanz im Gehirn - die Masse der Nervenzellkörper und Nervenzellverbindungen (Synapsen), die sozusagen unser “Rechenzentrum” bilden. Bislang gibt es keine Methode, um diese krankhaften Läsionen der grauen Substanz verlässlich und aussagekräftig nachzuweisen. Nun aber haben Forschende des LMU Klinikums erstmals gezeigt, dass sich mit der Positronen-Emissionstomografie der Synapsenverlust in den MS-Läsionen der Großhirnrinde abbilden lässt.

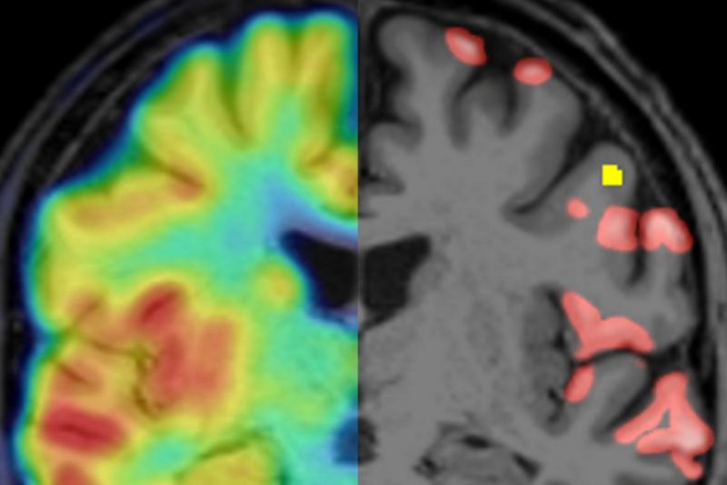
Überlagerung von Synapsen PET und MRT (links) und segmentierte Regionen mit cortikalen Läsionen in der MRT (gelb) sowie reduzierter Synapsendichte (rot)

Überlagerung von Synapsen PET und MRT (links) und segmentierte Regionen mit cortikalen Läsionen in der MRT (gelb) sowie reduzierter Synapsendichte (rot), LMU KLinikum

Langfristig wollen die Forschenden um Prof. Dr. Matthias Brendel von der Klinik und Poliklinik für Nuklearmedizin und Prof. Dr. Martin Kerschensteiner vom Institut für Klinische Neuroimmunologie das Verfahren so entwickeln, “dass wir damit die Therapie steuern können”, wie Brendel sagt.

Bei der MS kommt es durch die Zerstörung der Hüllen der Nervenfortsätze und eben der Nervenzellen selbst zu Symptomen, die alle Gehirn- und Rückenmarksfunktionen betreffen. Es sind dies: unscharfes Sehen, Doppelbilder, Gesichtsfeldausfälle, Kribbeln, Taubheit, „Ameisenlaufen“ in Armen oder Beinen, Muskelschwäche, Gangunsicherheit, Spastik, Muskelkrämpfe, ausgeprägte körperliche und geistige Ermüdbarkeit nach geringer Belastung (Fatique), Koordinationsstörungen und Schwindel, Harndrang, Inkontinenz, Verstopfung, Libido bzw. Erektionsstörungen sowie Konzentrationsstörungen, Gedächtniseinbußen, Depressionen oder Stimmungsschwankungen.

In jüngster Zeit, so Martin Kerschensteiner, “zeigt sich in Studien zunehmend, dass die krankhaften Veränderungen der grauen Substanz für das Fortschreiten der Erkrankung entscheidend sind, vor allem für die bleibende Behinderung sowie für kognitive Einschränkungen und eine anhaltende Erschöpfung.“ Darüber hinaus sagen die Läsionen in der grauen Substanz das Risiko einer Verschlechterung und den Übergang von einer schubförmigen zu einer dauerhaft fortschreitenden Erkrankung voraus. Das Problem: Die üblicherweise zur Diagnostik eingesetzte Magnetresonanz-Tomografie (MRT) ist nicht in der Lage, die meisten Veränderungen in der grauen Substanz diagnostisch darzustellen.

Kann ein anderes bildgebendes Verfahren, die PET, helfen? Dazu müsste man ein Protein der Nervenzellen finden, das sich einerseits mit diesem Verfahren nachweisen lässt und andererseits wertige Aussagen über die Dichte der Neuronen bzw. ihrer Synapsen liefert. In einer Serie von Experimenten bewies das Kerschensteiner-Labor zunächst, dass das Protein SV2A ein geeigneter Marker für die Synapsendichte bei MS ist. Anschließend hat das Team Mäusen, bei denen eine MS-ähnliche Entzündung der Hirnrinde ausgelöst wurde, eine schwach radioaktive Substanz gespritzt, die gezielt an SV2A andockt. Das strahlende Signal wird dann vom PET-Gerät erkannt. Zur Kontrolle und zum Vergleich wurden die Synapsendichten in denselben Läsionen mit etablierten Methoden gemessen. „So konnten wir zeigen, dass die mit PET-Bildgebung gemessenen Synapsendichten aussagekräftige Ergebnisse erzeugen“, erklärt Kerschensteiner, „bestätigt hat sich das auch in einer anschließenden Untersuchung mit gut 30 MS-Patienten.“

Nun ist das Ziel der Forschenden klar: „Wir wollen damit Therapien steuern“, sagt Brendel, „das ist genau die Idee, dass man hochgefährdete Patienten für ein Fortschreiten der Erkrankung identifiziert und für diese Betroffenen eine gezielt auf das Krankheitsfortschreiten wirkende Therapie ansteuert.“ Dafür sollen im nächsten Schritt jetzt Studien zur Langzeitbeobachtung gestartet werden, die untersuchen sollen, ob und wie gut sich der langfristige Krankheitsverlauf mit einer einmaligen PET-Untersuchung vorhersagen lässt.

Klinikum der Universität München


Originalpublikation:

Emily M. Ullrich Gavilanes et al.: SV2A-PET imaging uncovers cortical synapse loss in multiple sclerosis.Sci. Transl. Med.17,eadt5585(2025).DOI:10.1126/scitranslmed.adt5585

Heimische Wiesenpflanzen, Spitzwegerich und Sauerampfer, werden im Experiment auf den Einfluss von Düngung und Dürre in unterschiedlicher Pflanzendurchmischung untersucht.

Nicht nur der Klimawandel und damit einhergehende höhere Temperaturen und zunehmende Trockenperioden setzen Pflanzen zu. Sie stehen außerdem vor der…

Weiterlesen
Bilder von Immunsynapsen, die von NK-92-Zellen gebildet werden.

Präzision ist für Immunzellen entscheidend: Natürliche Killerzellen und T-Zellen eliminieren infizierte oder entartete Zellen, indem sie gezielt…

Weiterlesen
Leptin-sensitive Neuronen im lateralen Hypothalamus

Wie gelingt es uns, in einer angstauslösenden Situation zu essen, uns in unbekannte Bereiche zu wagen oder zur Ruhe zu kommen, wenn uns die Angst…

Weiterlesen