Mehr Menschen sind anfällig für krankmachende Pilze
Ärztinnen und Ärzte beobachten in der Klinik immer häufiger tödlich verlaufende Pilzinfektionen. Auch als Ko-Infektion bei COVID-19-Erkrankten stellen sie die Medizin vor große Herausforderungen. Ironischerweise werden diese Infektionen ausgerechnet durch medizinische Errungenschaften begünstigt, da viele Therapien, wie etwa bei Transplantationen oder Autoimmunerkrankungen, unsere Abwehrkräfte absichtlich herunterfahren.
„Im mikrobiellen Gleichgewicht ist der Hefepilz Candida albicans eigentlich ein harmloser Besiedler unserer Schleimhäute. Durch die Störung eines ausgeglichenen Mikrobioms, wie zum Beispiel durch die Einnahme von Antibiotika in Kombination mit Immunsuppression, kann der Pilz disseminierte und damit lebensbedrohliche Infektionen auslösen“, erklärt Ilse Jacobsen, Mikrobiologin und Tierärztin am Leibniz-HKI. Bei allen Formen der sogenannten Candidose geht der Erreger Candida albicans von kugelförmigen Hefezellen in ein fadenförmiges, sogenanntes filamentöses Wachstum über, wie zahlreiche Studien belegen. Mit den gebildeten Hyphen und dem Gift Candidalysin kann der Pilz tief in die Zellen eindringen. Candida albicans-Mutanten, die keine Hyphen bilden können, lösten in den bisherigen Versuchen hingegen keine oder nur mild verlaufende Infektionen aus.
Dominante Rolle der Filamentierung im Infektionsgeschehen überdenken
Ilse Jacobsen und ihr Team untersuchten die Virulenz einer Candida-Mutante, bei der das Gen EED1 ausgeschaltet ist. Es kodiert einen Schlüsselfaktor für das Hyphenwachstum. Zunächst beobachtete die Professorin für Mikrobielle Immunologie an der Universität Jena, dass die Pilz-Mutante in der Zellkultur keine Schäden verursacht. Um die Hypothese zu bekräftigen stellte die Gruppe eine systemische Infektion in einem Maus-Infektionsmodell nach. Die Forschenden gingen davon aus, dass die Mutante in der kugeligen Hefe-Form nicht in die Organe einwachsen kann und erwarteten auch hier keine nennenswerten Auswirkungen. Doch überraschenderweise erlagen ebenso viele Mäuse der Krankheit wie nach einer Infektion mit dem vollständig filamentösen Wildtyp-Stamm.
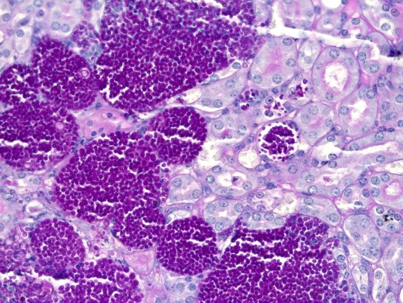
Stark erhöhte Pilzbelastung
„Als wir uns das Gewebe der Tiere anschauten, fanden wir eine hundertfach höhere Pilzbelastung der Organe“, so Christine Dunker. Sie ist Doktorandin in Jacobsens Team und Erstautorin der Studie. „Der Pilz konnte sich in den Organen blitzschnell vermehren. Durch diese hohe Menge an Pilzzellen beispielsweise im Nierengewebe entstand ein enormer Druck, der die Organe schließlich erheblich schädigte.“ Auch die Reaktion des Immunsystems hat eine Auswirkung auf den schweren Krankheitsverlauf: „Die Makrophagen, also unsere Fresszellen, erkannten den Pilz zwar zu Beginn der Infektion. Jedoch schlug das Immunsystem erst in einem späteren Stadium Alarm und veranlasste die Bildung einer Vielzahl von weißen Blutkörperchen, sogenannte neutrophile Granulozyten“, ergänzt Dunker. „Beim Versuch die Eindringlinge abzutöten, lösten die Immunzellen starke Entzündungsreaktionen aus und schädigten das Gewebe zusätzlich. Dieser Kollateralschaden ist aufgrund der Pilzmenge größer als beim Wildtyp.“
Pilz nutzt alternative Energiequellen
Den Grund für die schnelle Vermehrung der Pilzzellen vermuten die Forschenden in einem veränderten Stoffwechsel der Pilz-Mutante: Sie passt ihre metabolischen Prozesse an und schöpft Energie aus alternativen Kohlenstoff-Quellen, wie etwa Zitrat – das gerade in der Niere häufig vorkommt – oder Proteinen. Die Wissenschaftlerinnen und Wissenschaftler interessieren sich nun dafür, welche konkreten molekularen Mechanismen für die Anpassung verantwortlich sind.
Therapeutische Ansätze gegen Filamentierung weiterverfolgen
Zur medikamentösen Behandlung von Pilzinfektionen stehen nur wenige Stoffklassen zur Verfügung. Ein Teil der Forschung konzentriert sich deshalb darauf, neue Wirkstoffe zu identifizieren, die die Filamentierung der Hefezellen unterdrücken sollen. Trotz ihrer Erkenntnisse plädiert Jacobsen weiterhin für diesen Ansatz: „Substanzen, die den Pilz gänzlich abtöten, erhöhen den Selektionsdruck und fördern dadurch Resistenzen, die bereits heute ein Problem sind. Wenn wir Wirkstoffe entwickeln, die die Filamentierung des Pilzes unterdrücken, können wir damit seine Virulenz senken. Wir müssen jedoch im Blick behalten, wie sich der Pilz verhält, sobald er aufgrund der fehlenden Filamentierung seinen Stoffwechsel anpasst und alternative Kohlenstoff-Quellen nutzt.“
Leibniz-HKI
Originalpublikation:
Dunker C, Polke M, Schulze-Richter B, Schubert K, Rudolphi S, Greßler AE, Pawlik T, Prada Salcedo JP, Niemiec MJ, Slesiona-Künzel S, Swidergall M, Martin R, Dandekar T, Jacobsen ID (2021) Rapid proliferation due to better metabolic adaptation results in full virulence of a filament-deficient Candida albicans strain. Nature Communications, DOI: 10.1038/s41467-021-24095-8
https://doi.org/10.1038/s41467-021-24095-8





