Das kleinzellige Lungenkarzinom (SCLC) ist eine der aggressivsten Formen von Lungenkrebs: nach fünf Jahren überleben lediglich fünf Prozent der Erkrankten. Trotz dieser schlechten Prognose spricht der SCLC anfänglich gut auf eine Chemotherapie an. Die Patient*innen erleiden jedoch in der Regel einen Rückfall und die Krankheit schreitet sehr schnell fort. Weitere Forschungen zu den biologischen Mechanismen von SCLC sind notwendig, um die Wirksamkeit von Behandlungen zu verlängern, Rückfälle zu überwinden und letztlich die langfristigen Behandlungsergebnisse für die Patient*innen zu verbessern.
Ein Forschungsteam unter der Leitung von Professorin Dr. Silvia von Karstedt (Translationale Genomik, Exzellenzcluster für Alternsforschung CECAD und Center for Molecular Medicine Cologne - CMMC) hat einen neuartigen Mechanismus entdeckt, der SCLC so aggressiv macht. Die Studie mit dem Titel „Lack of Caspase 8 Directs Neuronal Progenitor-like reprogramming and Small Cell Lung Cancer Progression“ wurde im Fachjournal Nature Communications veröffentlicht.
Im Gegensatz zu anderen Epithelkarzinomen weist SCLC ähnliche Merkmale wie neuronale Zellen auf, darunter das Fehlen der Expression von Caspase-8, einem Protein, das am programmierten, nicht entzündlichen Zelltod (Apoptose) beteiligt ist – einem Mechanismus, der für die Beseitigung fehlerhafter oder mutierter Zellen sowie für die Aufrechterhaltung der Zellgesundheit entscheidend ist.
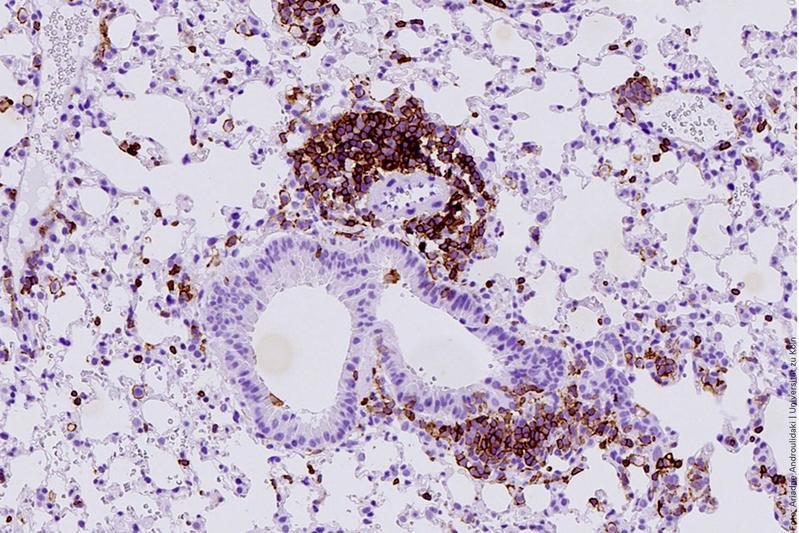
Um die Merkmale von menschlichem SCLC besser nachahmen zu können, hat das Team ein neues, gentechnisch verändertes Mausmodell entwickelt und charakterisiert, dem Caspase-8 fehlt. Anhand dieses neuen Modells beobachtete das Team, dass durch das Fehlen dieses Proteins eine ungewöhnliche Kettenreaktion in Gang gesetzt wird.
„Das Fehlen von Caspase-8 führt zu einer Art von entzündlichem Zelltod, der sogenannten Nekroptose, die ein feindliches, entzündetes Umfeld schafft, noch bevor sich ein Tumor vollständig bildet“, erklärt von Karstedt. „Wir waren ebenso fasziniert von der Erkenntnis, dass die prä-tumorale Nekroptose tatsächlich Krebs fördern kann, indem sie das Immunsystem konditioniert“, fügt sie hinzu. Die Entzündung schafft eine Umgebung, in der die körpereigene Immunreaktion gegen Krebs unterdrückt wird, sodass die Immunzellen Bedrohungen wie Krebszellen nicht angreifen können. Dies wiederum kann die Metastasierung von Tumoren fördern.
Überraschenderweise stellten die Wissenschaftler*innen fest, dass diese Entzündung die Krebszellen auch dazu bringt, sich eher wie unreife neuronenähnliche Zellen zu verhalten – ein Zustand, in dem sie sich besser ausbreiten können und der mit einem Rückfall verbunden ist.
Ob eine ähnliche prä-tumorale Entzündung auch im Menschen auftritt, ist noch nicht belegt. Mithilfe dieser neuen Studienergebnisse wurde aber ein Mechanismus identifiziert, der zur Aggressivität und zum Rückfall von Patient*innen mit SCLC beiträgt. Diese Erkenntnis hat das Potenzial, künftige Therapien und diagnostischer Methoden in frühen Stadien effizienter zu gestalten.
Universität Köln
Originalpublikation:
Androulidaki, A., Liu, F., Bebber, C.M. et al. Lack of caspase 8 directs neuronal progenitor-like reprogramming and small cell lung cancer progression. Nat Commun16, 11280 (2025). doi.org/10.1038/s41467-025-67142-4





