VBIO

Gemeinsam für die Biowissenschaften

Werden Sie Mitglied im VBIO und machen Sie mit!

Neue Angriffsstelle zur Behandlung von Lymphomen entdeckt

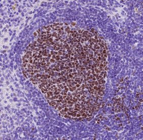
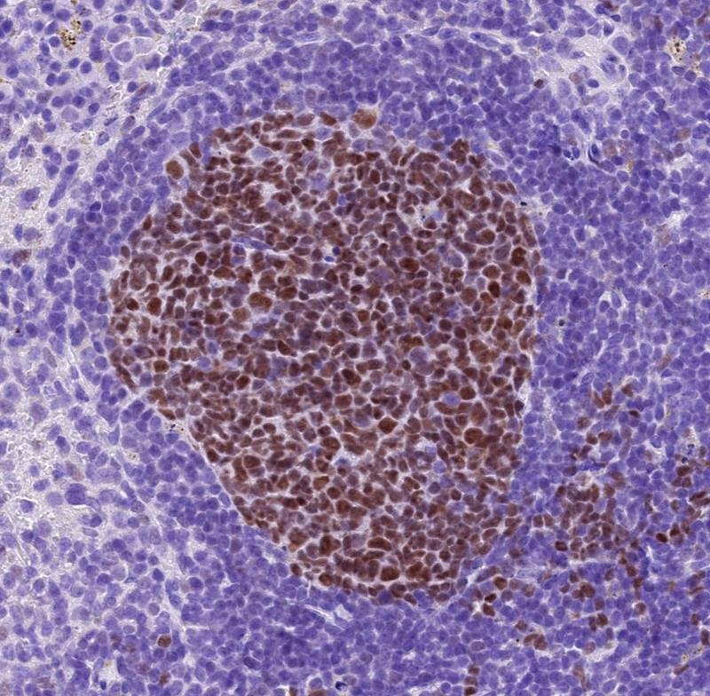
Milzgewebe aus einem Mausmodell
Milzgewebe aus einem Mausmodell: dunkelbraun hervorgehoben sind für das DLBCL charakteristische Immunzellen, die sich hier ohne äußere Immunstimulation spontan zu Clustern zusammenballen. Copyright: Kristie Bariboloka / Visualisierung und Analyse mit QuPath

Das Schlüsselprotein cFLIP ist entscheidend für die Regulierung des programmierten Zelltods in Lymphomzellen, dies konnten Forschende der Universität zu Köln zeigen. Sie geben Einblicke in die Mechanismen, mit denen diese Krebsart den Zelltod umgeht. Das Ergebnis könnte neue Therapiemöglichkeiten für Patientinnen und Patienten eröffnen, die auf bisherige Behandlungsoptionen nicht ansprechen.

Ein Forschungsteam am Center for Molecular Medicine Cologne (CMMC) der Universität zu Köln hat gezeigt, dass das Protein cFLIP entscheidend ist, um die Abwehrkräfte des diffus großzelligen B-Zell-Lymphoms (Diffuse Large B Cell Lymphoma – DLBCL) gegen den programmierten Zelltod zu überwinden. Diese Abwehrkräfte machen eine Behandlungen oft unwirksam, weil sie es den Krebszellen ermöglichen, zu überleben. Die Ergebnisse sind besonders relevant für ABC-DLBCL, einen spezifischen Subtyp des Blutkrebses mit einer schlechten Prognose für Patient*innen sowie einer niedrigen Überlebensrate. Die Studie mit dem Titel „Expression of cFLIP in B cells is essential for diffuse large B cell lymphoma pathogenesis“ wurde in der Fachzeitschrift Blood veröffentlicht.

Das DLBCL ist die häufigste Form des Non-Hodgkin-Lymphoms, einer Krebsart, die sich aus bestimmten weißen Blutkörperchen, den Lymphozyten, entwickelt. Die derzeitige Frontline-Immunchemotherapie, bei der der Antikörper Rituximab mit Chemotherapeutika kombiniert wird, heilt etwa 60 Prozent der Patient*innen. Trotz dieser hohen Heilungschance erleiden etwa 50 Prozent der behandelten Patient*innen einen Rückfall oder sprechen nicht auf die Behandlung an, was weitere Therapieversuche erschwert. 

Daher ist es dringend erforderlich, alternative Behandlungsmethoden zu finden. Ein Weg ist, Schwachstellen in DLBCL-Zellen zu identifizieren. Die Suche nach solchen Schwachstellen ist allerdings schwierig, da DLBCL sehr heterogen ist. Außerdem entgehen DLBCL-Zellen dem programmierten Zelltod (Apoptose), indem sie verstärkt den Schutzfaktor BCL2 bilden. Dieser verschafft den Lymphomzellen einen Überlebensvorteil: Sie können sich unbegrenzt vermehren und Tumore bilden, wodurch die Gesundheit und die Überlebenschancen der Patient*innen beeinträchtigt werden. Deshalb ist es entscheidend, die Mechanismen zu verstehen, die den Zelltod in Lymphomzellen steuern, und Wege zu finden, die durch die Überproduktion des Proteins BCL2 verursachte Blockade der Apoptose zu überwinden, um den Zelltod wieder zu aktivieren.

Es gibt verschiedene Arten des Zelltods: Das BCL2-Protein steuert eine davon, die sogenannte intrinsische Apoptose. Zellen können jedoch auch über einen anderen Weg – die extrinsische Apoptose – absterben, die durch das cFLIP-Protein streng kontrolliert wird. Das Forschungsteam unter der Leitung von Dr. Alessandro Annibaldi am CMMC hat nun entdeckt, dass DLBCL-Zellen neben BLC2 auch cFLIP überproduzieren. Auf diese Weise sind sie in der Lage, sowohl den intrinsischen als auch den extrinsischen Zelltod abzuwehren und dadurch sehr resistent zu werden. 

„DLBCL-Zellen bauen Straßensperren, um die intrinsischen und extrinsischen Zelltodwege zu unterbrechen mit dem Ziel, unsterblich zu werden und einen Überlebensvorteil gegenüber normalen Zellen zu erlangen. Wir wollten das Hindernis auf dem Weg der extrinsischen Apoptose identifizieren und es dann beseitigen, um das Schicksal dieser Zellen umzuprogrammieren und ihren Tod herbeizuführen. Bereits seit Langem bestand die Vermutung, dass ein solches Hindernis existiert. Nun konnten wir es erstmals nachweisen und seine klinische Bedeutung aufklären“, sagt Alessandro Annibaldi. 

Die Wissenschaftler*innen verwendeten modernste zell- und molekularbiologische Techniken sowie ein präklinisches Mausmodell für DLBCL. Sie fanden heraus, dass ein gezielter Angriff auf cFLIP die durch BCL2-Überproduktion vermittelte Blockade der Apoptose aufheben und den Zelltod in Lymphomzellen wieder aktivieren kann. Ihre Studie zeigt, dass cFLIP speziell im Subtyp ABC-DLBCL überexprimiert wird. Wird cFLIP eliminiert, werden die Lymphomzellen für Todessignale re-sensibilisiert und die Entwicklung des Lymphoms verhindert. 

Diese Forschungsergebnisse belegen, dass der extrinsische Apoptoseweg genutzt werden kann, um die Resistenz von DLBCL-Zellen gegen die Apoptose zu überwinden, die durch die Überproduktion von BCL2 und die Blockierung der intrinsischen Apoptose ausgelöst wird. Diese Studie liefert somit die Grundlage für die Entwicklung von Medikamenten, die gezielt auf cFLIP abzielen. Solche Medikamente könnten, allein oder in Kombination mit anderen Medikamenten, ABC-DLBCL-Zellen abtöten – unabhängig davon, welche Mutationen sie tragen, solange sie cFLIP produzieren.

Die Wissenschaftler*innen sind zuversichtlich, dass die Entwicklung cFLIP-spezifischer inhibitorischer Moleküle und ihre Validierung in präklinischen DLBCL-Modellen weitere Erkenntnisse über das klinische Potenzial dieser Entdeckung liefern werden. „Der Einsatz von cFLIP in Kombination mit bestehenden Therapien stellt eine vielversprechende Option dar, die für Patient*innen, die auf andere Standardbehandlungen von DLBCL nicht ansprechen, weiter untersucht werden sollte“, sagt Doktorandin Kristie Bariboloka, die die Forschungsarbeit im Labor leitete.

Universität Köln


Originalpublikation:

Kristie Tanavura Bariboloka et al.: Expression of cFLIP in B cells is essential for diffuse large B-cell lymphoma pathogenesis. Blood 2026; blood.2026033320. doi: https://doi.org/10.1182/blood.2026033320

weitere VBIO News

Genscheren zeigen Potenzial bei seltener Immunkrankheit

Weiterlesen
Neolamprologus brevis, ein Buntbarsch aus dem Tanganjikasee, ernährt sich unter anderem von kleinen Krebstierchen und Insektenlarven.

Du bist, was du isst: Wie Ernährung die Evolution antreibt

Weiterlesen
Landkarte verschiedener Glycanstrukturen auf einer humanen Blutgefäßzelle

Wenn Zellen ihr Inneres nach außen tragen

Weiterlesen